Τα μεγαλύτερα διεθνή μέσα συμμετείχαν σε μία έρευνα που δημοσιεύθηκε προχθές συγχρόνως σε 36 χώρες σχετικά με τις παραλείψεις στους ελέγχους των ιατροτεχνολογικών βοηθημάτων.
Πρόκειται για μία έρευνα της Διεθνούς Κοινοπραξίας Ερευνητών Δημοσιογράφων, της ομάδας που έχει γράψει ιστορία αφού έχει βγάλει στο παρελθόν πολλά μεγάλα σκάνδαλα όπως τα Panama Papers. Στην έρευνα συμμετείχαν 252 δημοσιογράφοι από 36 χώρες και συνολικά 51 μέσα – μεταξύ αυτών η γαλλική Le Monde, ο βρετανικός Guardian και πολλά άλλα.
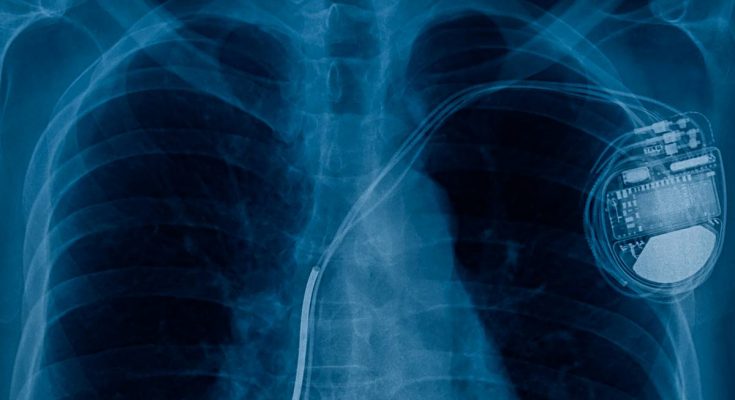
Με τον όρο «ιατροτεχνολογικά βοηθήματα» εννοούμε μία μεγάλη γκάμα εμφυτευμάτων, όπως αντλίες ινσουλίνης, βηματοδότες, ισχιακά εμφυτεύματα, ακόμα και σιλικόνη για το στήθος.
Αφορμή δύο κιλά μανταρίνια
Το πιο ενδιαφέρον ίσως από την ίδια την έρευνα, ήταν η αφορμή: Μία Ολλανδέζα δημοσιογράφος, η Τζετ Σούτεν, αγόρασε το 2014 δύο κιλά μανταρίνια από το σούπερ μάρκετ. Όχι όμως για να τα φάει, αλλά για να κάνει ένα πείραμα. Τα έβγαλε από το διχτάκι, το φωτογράφισε άδειο με το κινητό της και έφτιαξε έναν ψεύτικο «φάκελο υποψηφιότητας» γεμάτο ανακρίβειες. Τον φάκελο τον κατέθεσε ταχυδρομικά σε 3 εταιρίες που δίνουν βεβαιώσεις για να κυκλοφορήσει ελεύθερα στην αγορά ένα τέτοιο εμφύτευμα. Η ίδια υποστήριξε ότι το διχτάκι αυτό ήταν ένα «ειδικό εμφύτευμα» για περιπτώσεις πτώσης της μήτρας.
Και οι 3 εταιρίες, που «μελέτησαν» τον φάκελο που έστειλε, την διαβεβαίωσαν ότι μπορεί να λάβει πιστοποίηση, δηλαδή να πουλάει ελεύθερα σε γιατρούς και νοσοκομεία το διχτάκι για να χρησιμοποιείται σε εγχειρήσεις. Η δημοσιογράφος απευθύνθηκε στην Κοινοπραξία και πρότεινε να γίνει έρευνα με αυτήν την αφορμή, όπως κι έγινε.

82.000 θάνατοι μόνο στις ΗΠΑ
Οι δημοσιογράφοι, δεν μπόρεσαν δυστυχώς να συγκεντρώσουν πολλά στοιχεία, γιατί δεν καταγράφονται και δεν δίνονται τέτοια στοιχεία από τα νοσοκομεία ή τις υπηρεσίες υγείας. Στις ΗΠΑ μόνο, οι ανεπαρκείς έλεγχοι έχουν προκαλέσει την τελευταία δεκαετία 82.000 θανάτους και 1,7 εκατομμύρια τραυματισμούς ασθενών.
Επίσης, σύμφωνα με τα ίδια στοιχεία, στις ΗΠΑ μόνο μία γνωστή εταιρία, έχει πληρώσει – ή έχει καταδικαστεί από δικαστήρια να πληρώσει – από το 2015 αποζημιώσεις ύψους 4,3 δις δολάρια σε ασθενείς που αποδείχτηκε ότι έλαβαν ελαττωματικά ισχία και άλλα εμφυτεύματα.
Ανεπαρκής νομοθεσία
Τα συμπεράσματα της έρευνας είναι πολύπλευρα και αποκαλυπτικά. Αποδεικνύεται περίτρανα ότι οι αρχές, στο σύνολό τους, σε Ευρώπη, Αμερική και αλλού, έχουν αποτύχει παταγωδώς να προστατεύσουν τους ασθενείς από ελάχιστα ή και καθόλου δοκιμασμένα εμφυτεύματα. Με αφορμή το διχτάκι από τα μανταρίνια της δημοσιογράφου, αποκαλύφθηκε ότι οι φάκελοι που κατατίθενται για πιστοποίηση, εγκρίνονται σε ποσοστό 96% μόνο από φωτογραφίες. Δηλαδή κανείς δεν βλέπει καν από κοντά το προϊόν, να το αγγίξει, να δοκιμάσει τις αντοχές του κλπ.
Τα προβλήματα που μπορούν να προκαλέσουν όλα αυτά είναι πολλά και συχνά πολύ σοβαρά. Από καρδιακά, μέχρι μολύνσεις στο αίμα ή τραυματισμούς στα οστά. Ένα από τα ενδιαφέροντα συμπεράσματα της έρευνας, και που μας αφορά και άμεσα σαν χώρα – μέλος της Ε.Ε., είναι για την Ευρωπαϊκή νομοθεσία. Εκεί φαίνεται ότι το βασικό πρόβλημα είναι ότι τα εμφυτεύματα αντιμετωπίζονται σαν εμπορεύματα (και έτσι ελέγχονται και πιστοποιούνται) και όχι σαν προϊόντα που σχετίζονται με την υγεία. Παρόλο που τον Μάιο του 2020 θα μπει σε ισχύ ένας νέος, πιο αυστηρός κανονισμός της Ε.Ε., αυτό, όπως υποστηρίζουν οι δημοσιογράφοι που συμμετείχαν στην έρευνα, δεν αρκεί.
Μυρσίνη Λιοναράκη













































